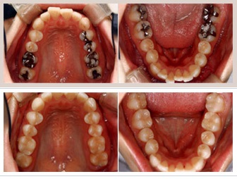
- 【日本人は 銀歯ばかり・歯ならびが悪い のに、きれいな車 や ブランド品を持っている】と 海外からの評価です。
本当に これでいいのでしょうか?
- 自然なセラミックにしてみませんか!
- 白く輝く歯が手に入るだけでなく、予防する姿勢をも身につけ長い目で見れば費用も安く済むのです。
- ジルコニアククラウン、ジルコニアインレー、ラミネートベニア など、様々な治療方法を行います。
- スキャナーでの光学印象は最上級に精密な補綴物の作製が可能です。

- 歯が綺麗になると、口元が美しく笑顔になり、気持ちも明るくなります。

